整形外科
私たち林病院整形外科スタッフは、丹南地域の中核病院として、外傷などの急性期疾患から変形性関節症などの慢性疾患まで、幅広く対応するよう努めてまいりました。
私たちの行っている診療の中で特に症例の多い疾患とその治療について簡単にご紹介させていただきます。
|| 肩関節周囲炎
当院を受診される患者さんの肩の痛みの多くは肩関節周囲炎によるものです。短期間で治ることは少なく、薬物療法とあわせ可動域訓練などのリハビリテーションを治療の柱として根気よく治療に取り組んでいくことが大切です。
当院でもたくさんの方がリハビリに通っていらっしゃいます。経験豊富なベテランから意欲のある元気で熱心な若手まで、多くのリハビリスタッフが治療にあたっております。
肩関節専門外来もございます。関節鏡を用いた腱板断裂手術などもおこなっております。
|| 変形性関節症
加齢とともに多くの方が経験される関節の痛みの原因です。膝や股関節が多く、肩の変形性関節症は少ないです。
変形が軽い場合は体重管理、運動療法、ヒアルロン酸関節内注射などを行います。
変形が進行するとこれらの保存療法の効果が少なくなり、手術療法を検討します。若い患者さんや変形が比較的軽い場合は、関節鏡手術や骨切り術、骨軟骨片移植術などを選択します。
60代以上の患者さんの割合が多い丹南地区では、多くの場合人工関節置換術が第一選択になります。
手術と聞いただけで拒絶反応を示される方が少なくないですが、踏ん切りをつけて手術を受けられた後には「もっと早くしておけばよかった!」とおっしゃられる患者さんも多く、人工関節手術の後は痛みが楽になります。
1ヶ月程度の入院生活の後、日常生活で痛みから解放され、買い物や旅行などを楽しむこともできます。
注意すべき合併症がありますが頻度は少なく、健康寿命を大きく伸ばすことができる優れた治療法です。お悩みの方は是非外来まで相談にいらして下さい。

人工関節
(股関節)

人工関節
(膝)
|| 骨粗鬆症
骨粗鬆症がおそろしいのは、非常にささいなことで骨折してしまうところです。
女性は70才を超えると、骨密度は20~30代の方の7割程度しかありません。この年代になられると、残念ながら運動や食事だけでは骨粗鬆症の進行は防ぐことができません。
80代後半まで生きることが当たり前になった現在、骨粗鬆症を予防し進行を遅らせるために薬の力を借りることが避けて通れない時代に突入しているように思います。
骨粗鬆症の治療は日進月歩です。当院では骨密度検査に加え、血液検査でも骨粗鬆症の状態を評価しています。これらの結果を評価し患者さんの病態に合わせた薬物の選択をおこなっております。

骨密度検査
|| 腰痛症
腰痛を起こす原因は様々です。また腰痛は年代によってその主な原因が異なります。
若い方の腰痛は筋肉や靱帯、椎間板といった軟部組織の損傷が原因であることが多いです。
一方骨粗鬆症をかかえられた高齢の方の場合、骨の損傷(骨粗鬆症性脊椎椎体骨折)が腰痛の原因になる割合がぐっと増えます。
ささいなきっかけで(あるいはきっかけなく)『寝起きなどで腰にズキッとした痛みがくるけれど、いったん起きてしまうと歩ける』・・・私たちからみればこれだけでも背骨が骨折している可能性が少なくありません。
軽いひび程度なら動けることが多く、がまんして生活しているうちに背骨がつぶれてしまい、動けなくなって受診される方がいらっしゃいます。つぶれると背骨が曲がってしまい、慢性的な腰痛が残ったり姿勢が悪く歩きにくくなったり胃が圧迫されてごはんがあまり食べられなくなることもあります。
一度つぶれた骨は手術以外の方法で元に戻すことは困難です。
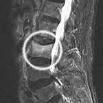
日本が超高齢社会に突入し、骨粗鬆症を有する高齢の方が激増している中、この病態の認識はまだまだ浸透しておりません。早期発見・早期治療開始が必要な疾患であり、早期診断のためにはMRI検査が必要です。
当院ではこのような骨折が疑われる患者さんの検査を優先して行っております。

(レントゲン)

(MRI)
レントゲンでは骨折が判り難いがMRI検査により骨折が判別した例
|| 脊椎疾患
椎間板ヘルニア、脊柱管狭窄症といった病気では、てあしのしびれや痛み、感覚障害や運動障害などが生じます。
通常、消炎鎮痛剤や最近よく耳にする神経障害性疼痛緩和薬などの薬物療法、ブロック注射などにより症状の緩和をはかりますが、効果が乏しい場合や神経の救済を急ぐ場合は手術をおこないます。
よく「脊椎の手術をすると寝たきりを覚悟しなければならないのでしょ?」といった質問をお受けしますが、現在の医療水準ではそういうことはありません。
多くの患者さんのお気持ちは手術をしないで治ることが一番のようで、そのお気持ちに添うべくブロック注射も積極的におこなっておりますが、手術のタイミングを逸しないことは非常に大切です。
|| スポーツ外傷・スポーツ障害
突き指、ねんざをはじめ、スポーツに伴うけが(スポーツ外傷)は多いですが、初期治療をあやまって時間が経過してから病院を受診される患者さんがしばしばいらっしゃいます。
早期スポーツ復帰を目指す上でも、スポーツ外傷は初期治療が肝要です。また、野球肘や投球肩など、反復する軽い損傷を繰り返すことによって起こるスポーツ障害も、障害が進行してしまってからでは回復が困難な場合があります。
どの程度スポーツ活動をして良いのか、休まなければならないのか、適切な判断が重要です。
|| 診療実績
| 手術統計 |
2023年 |
脊椎・脊髄外科 (腫瘍を含む) |
頸椎 |
13例 |
| 胸・腰椎 |
42例 |
| 関節外科 |
股関節 |
人工関節 |
16例 |
| 人工骨頭 |
35例 |
| その他 |
5例 |
| 膝関節 |
人工関節 |
38例 |
| 単顆置換術 |
1例 |
| 靭帯再建術 |
1例 |
| 半月板手術 |
11例 |
| その他 |
17例 |
| 肩関節 |
人工関節・人工骨頭 |
2例 |
| 腱板修復術 |
5例 |
| その他 |
6例 |
| 肘関節 |
人工関節 |
1例 |
| その他 |
1例 |
足関節・ 足部関節 |
その他 |
2例 |
| 外傷外科 |
骨接合術 |
上肢 |
93例 |
| 下肢 |
144例 |
| その他 |
9例 |
| 手外科 |
関節手術 |
2例 |
| 腱・靭帯手術 |
3例 |
| その他 |
24例 |
末梢神経手術 (肘部管症候群、手根管症候群を含む) |
12例 |
| 骨軟部腫瘍 |
1例 |
| その他 |
85例 |
| 手術総数 |
569例 |